公司邮箱
contact@innermed.com
英美达胃肠镜临床案例 | 预防早期消化肿瘤,这项检查是关键王牌!
胃肠道肿瘤是消化道常见恶性肿瘤之一,其发生率在全身肿瘤中居第2位,仅次于肺癌。近年来,发病率呈现上升趋势。
消化道早期癌变及癌前病变在初期往往极少表现出明显症状。它们悄无声息地进展,可能仅伴随轻微的消化不良或排便习惯改变。一旦出现显著症状,病情多已进展至中晚期。
所以说,一次及时的胃肠镜检查,就可以有效阻止胃肠道肿瘤找上门。
高清+精准
早癌诊疗新“镜”界
许多患者认为:“我没有不舒服,能吃能喝,为什么要做胃肠镜?而且胃肠镜检查太难受了。”这种观念可能导致错过早期发现病变的最佳时机。
随着医疗科技的不断进步,国产胃肠镜设备近年来技术升级显著。英美达高清胃肠镜通过多项核心技术的深度融合,在新材料、新工艺、新技术与新功能的多重加持下,实现了产品性能的全面提升:

英美达胃肠镜临床病例
35岁女性患者,无任何不适,进行体检胃肠镜检查;
经胃镜提示黏膜水肿,完善C14阳性。




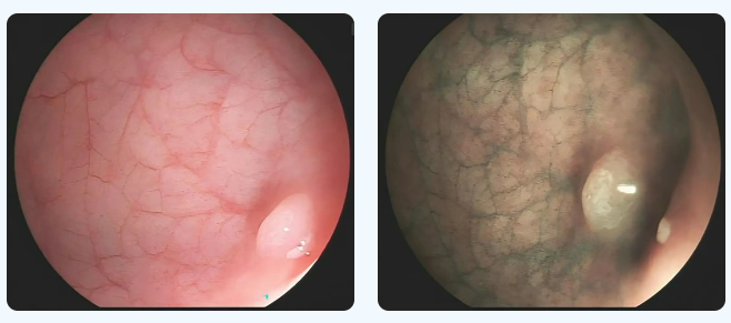
结肠:所见盲肠、升结肠、横结肠、降结肠、乙状结肠及直肠黏膜光滑,血管纹理清晰,未见溃疡及新生物。
于乙状结肠近端发现1枚山田I型息肉,直径约5mm,予以完整切除送病理检查。
• 胃癌发生过程:慢性炎症,萎缩性胃炎,肠化,异型增生,癌变(HP密切相关);
• 肠癌发生过程:正常粘膜,腺瘤性息肉,高级别异型增生,癌变。
国家癌症中心数据显示,早发现的胃癌经过内镜微创治疗,5年生存率超过90%,黏膜内癌5年生存率接近100%,远高于中晚期10%~35.2%,差异极其显著。